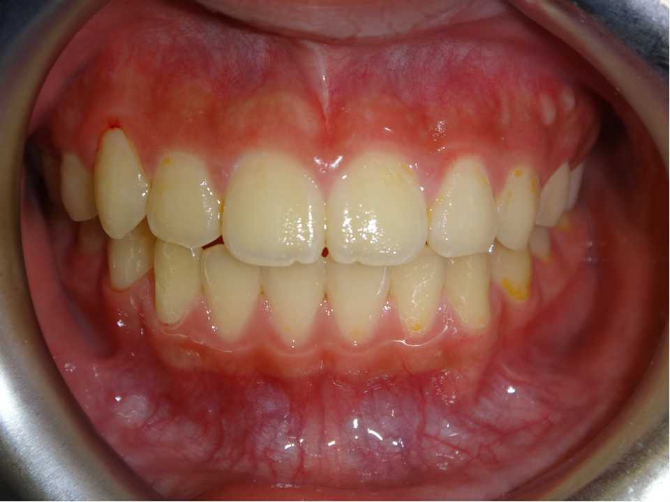
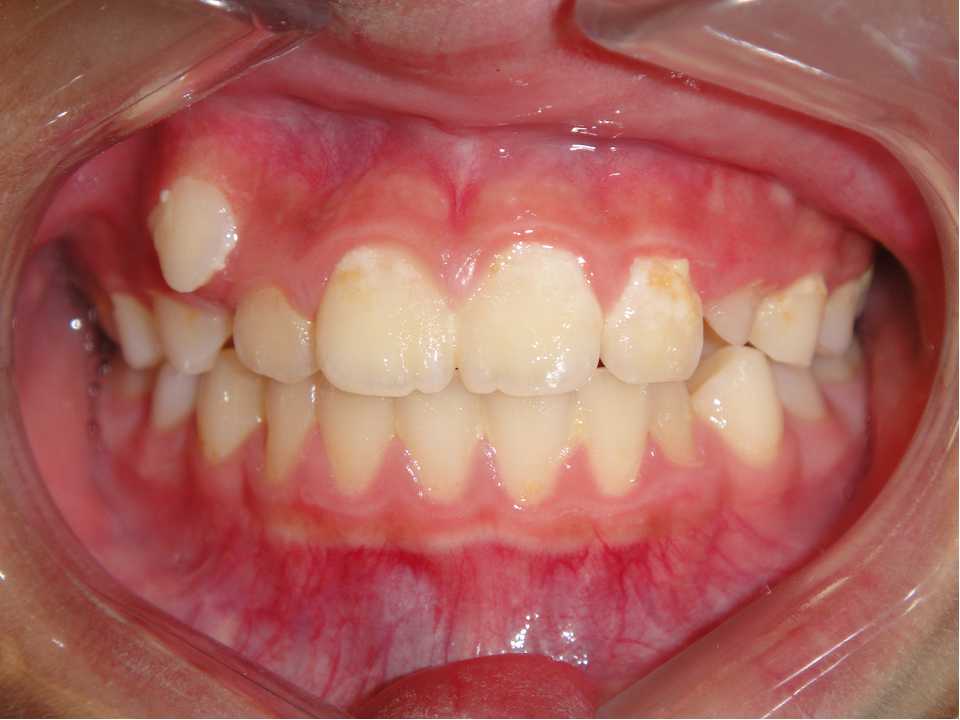
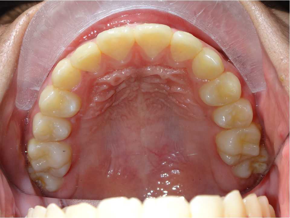
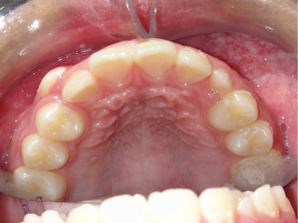
隱適美不拔牙矯正 首頁 案例分享 齒顎矯正 隱適美不拔牙矯正 隱適美-不拔牙案例 年紀:14歲 男性 時間:20個月 矯正前 矯正後 上排右上犬齒部位因空間不足排列不整,此案例利用不拔牙的方式排列整齊 矯正前 矯正後 下排 矯正前 矯正後 聲明:本所療程皆由專業醫生評估後,依照個人口腔狀況進行治療。因每位患者個別狀況不同,術後狀況也不盡相同,需親來本所由醫生評估。