爵佳美學牙醫診所
  • 診所介紹
    • 關於診所
    • 環境介紹
    • 醫師證照
    • 設備介紹
  • 醫療團隊
  • 醫療項目
    • 全口重建(All on 4/6)
    • 人工植牙
    • 微創植牙
    • 舒眠植牙
    • 齒顎矯正
    • 隱形矯正
    • 顯微根管
    • 牙周治療
    • 美容牙科
    • 假牙贋復
    • 兒童牙科
    • MRC兒童矯正
  • 爵佳朋友分享
  • 案例分享
    • 全部
    • 齒顎矯正
    • 人工植牙
    • 牙周治療
    • 兒童牙科
    • 牙齒美白
    • MRC兒童矯正
  • 門診時間
  • 最新消息
    • 最新消息
    • 醫療新知
    • 媒體報導
  • 影片專區

齒顎矯正

  • 首頁
  • 案例分享
  • 齒顎矯正

  • 不拔牙案例

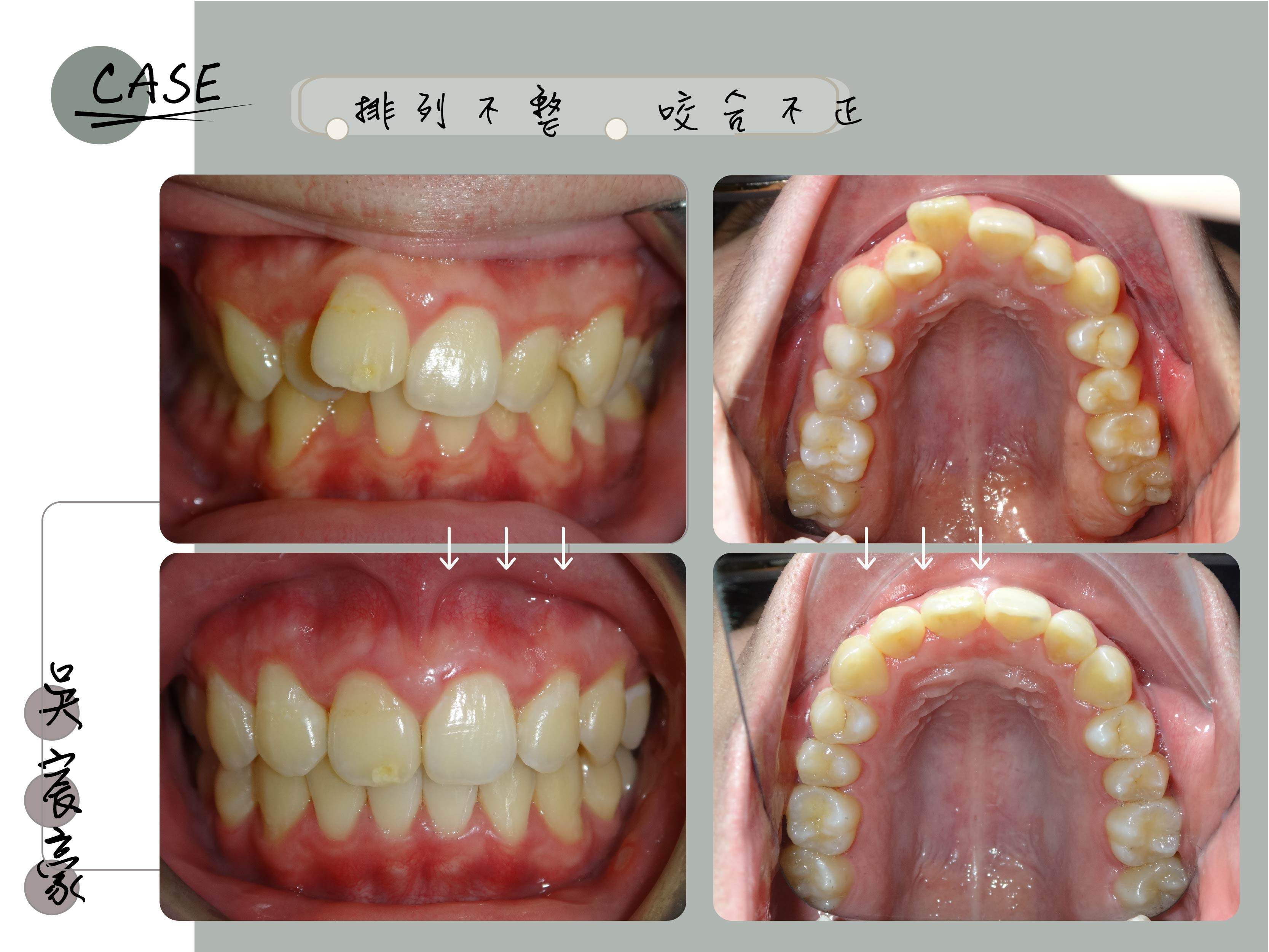
    不拔牙案例

    矯正訴求:■ 排列不整 ■ 咬合不正

  • 自鎖式矯正器不拔牙矯正

    自鎖式矯正器不拔牙矯正

    矯正訴求: ■ 咬合不正 ■ 牙齒凌亂

  • 自鎖式矯正器不拔牙矯正

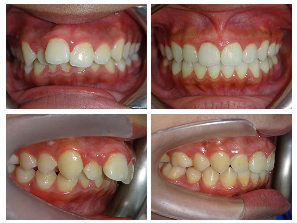
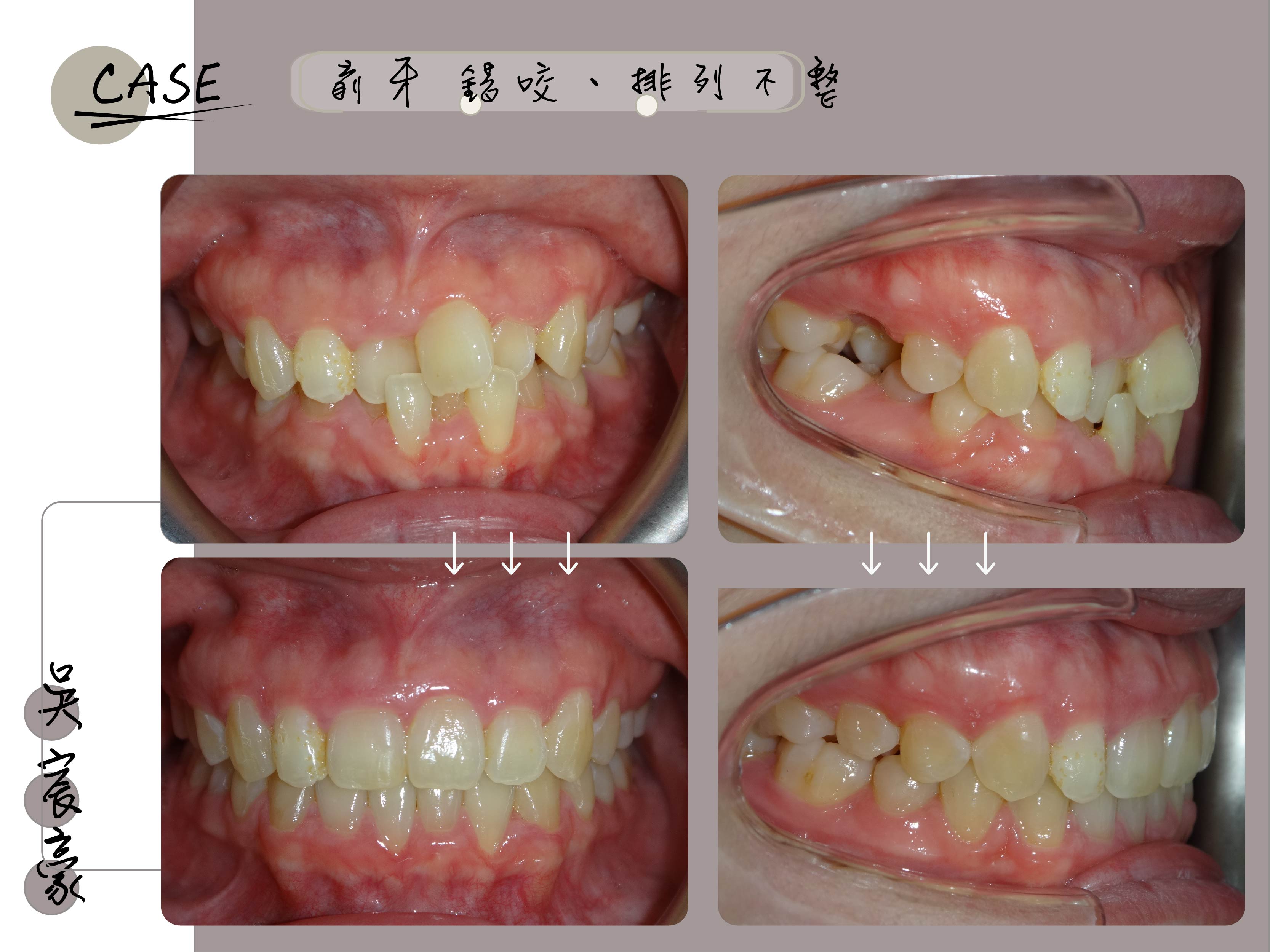
    自鎖式矯正器不拔牙矯正

    矯正訴求:■ 前牙錯咬 ■ 牙齒凌亂

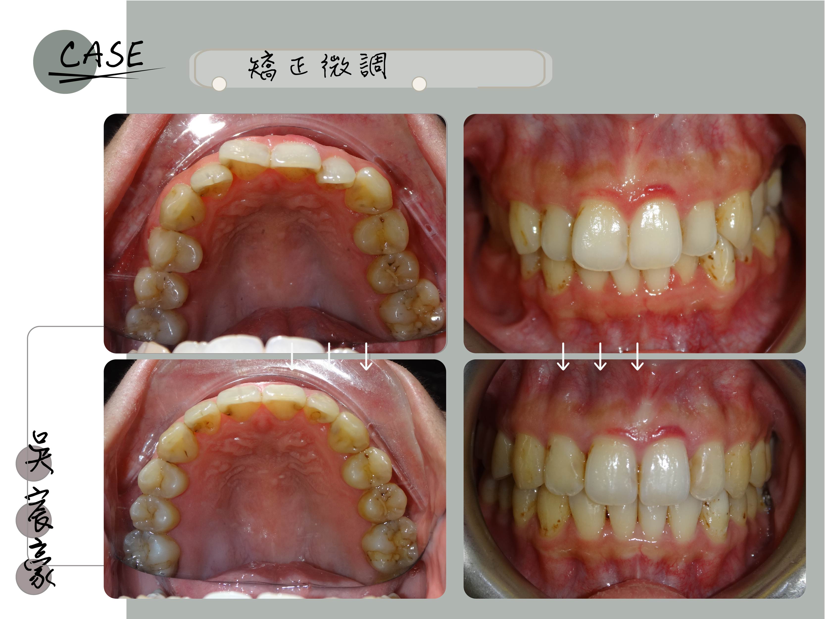
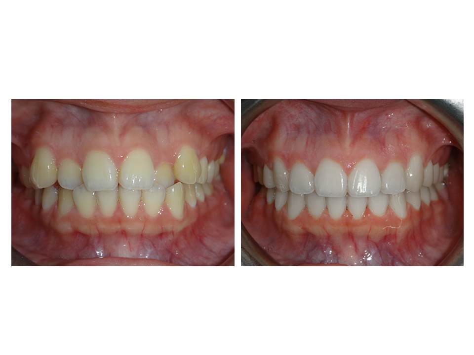
  • 微矯正案例

    微矯正案例

    矯正訴求:■ 中線不正 ■ 門牙外凸

  • 隱適美拔牙改臉型(二)

    隱適美拔牙改臉型(二)

    矯正訴求:■ 門牙暴 嘴唇部前凸

  • 隱適美拔牙改臉型 (一)

    隱適美拔牙改臉型 (一)

    矯正訴求:■希望改善暴牙問題

  • 隱適美不拔牙矯正

    隱適美不拔牙矯正

  • 拔牙案例

    拔牙案例

    矯正訴求:■ 上層外凸 ■ 咬合不正

  • 開咬不拔牙

    開咬不拔牙

    成年人矯正

  • 青少年早期矯正治療

    青少年早期矯正治療

    青少年矯正

  • 隱適美拔牙矯正

    隱適美拔牙矯正

    矯正訴求:■ 排列凌亂 ■ 前牙及外觀外突

  • 不拔牙案例

    不拔牙案例

    ■ 錯咬 ■ 不整齊

  • 拔牙改臉型

    拔牙改臉型

    成年人矯正

  • 拔牙改臉型

    拔牙改臉型

    成年人矯正

  • 拔牙案例

    拔牙案例

    矯正訴求:■ 深咬 ■ 暴牙

  • «
  • 1
  • »
爵佳美學牙醫診所

聯絡資訊

  • 04-23171666
  • 407台中市西屯區西屯路二段26號
  • jadentists@gmail.com
  • 台中甘肅成都停車場 (步行診所3分鐘)
看診時段 一 二 三 四 五 六 日
9:30~12:30 ● ○ ● ● ● ● ○
14:30~17:30 ● ● ● ● ● ● ○
18:00~21:30 ● ● ● ● ● ● ○
 ○休診
  • Design by GTUT
  • 網站地圖
  • 隱私權政策