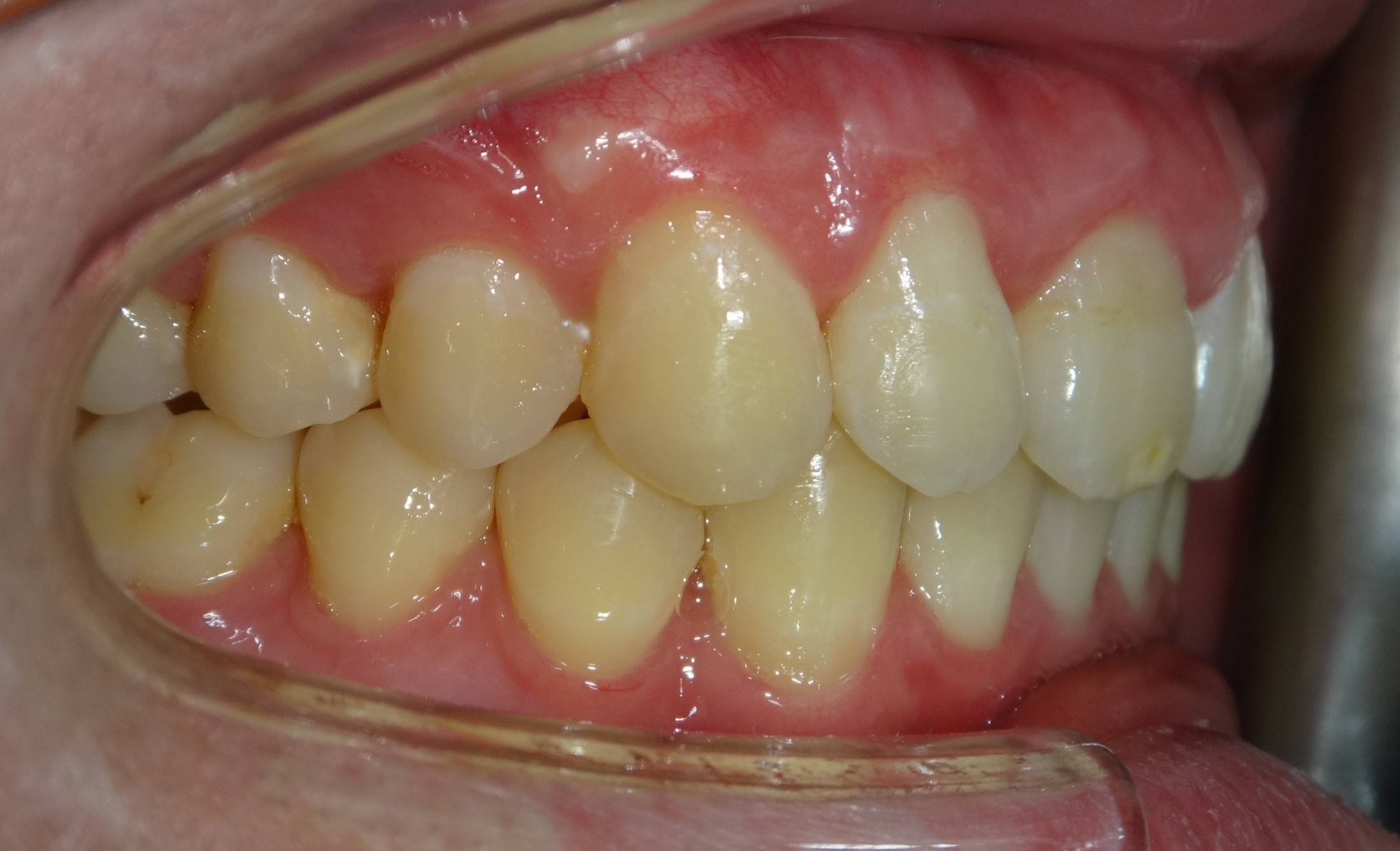
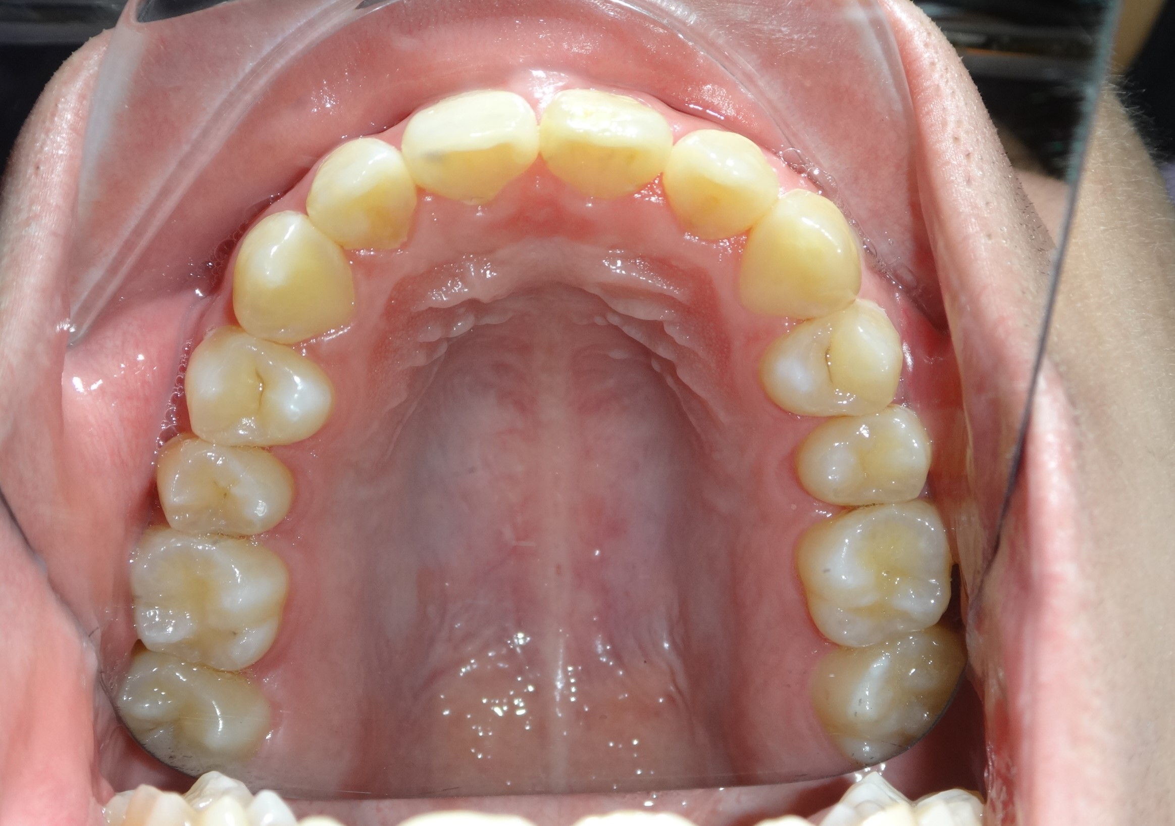
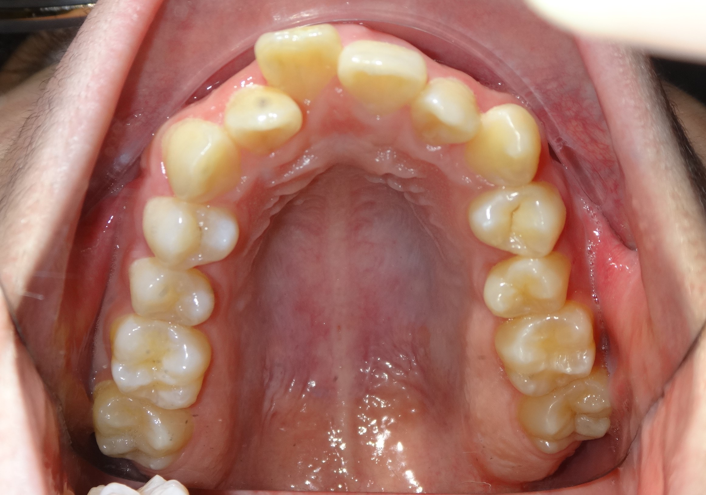
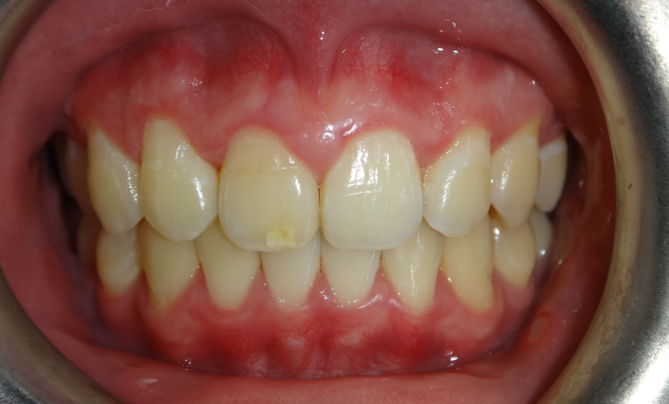
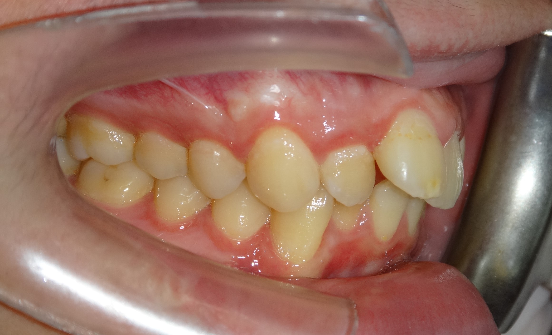
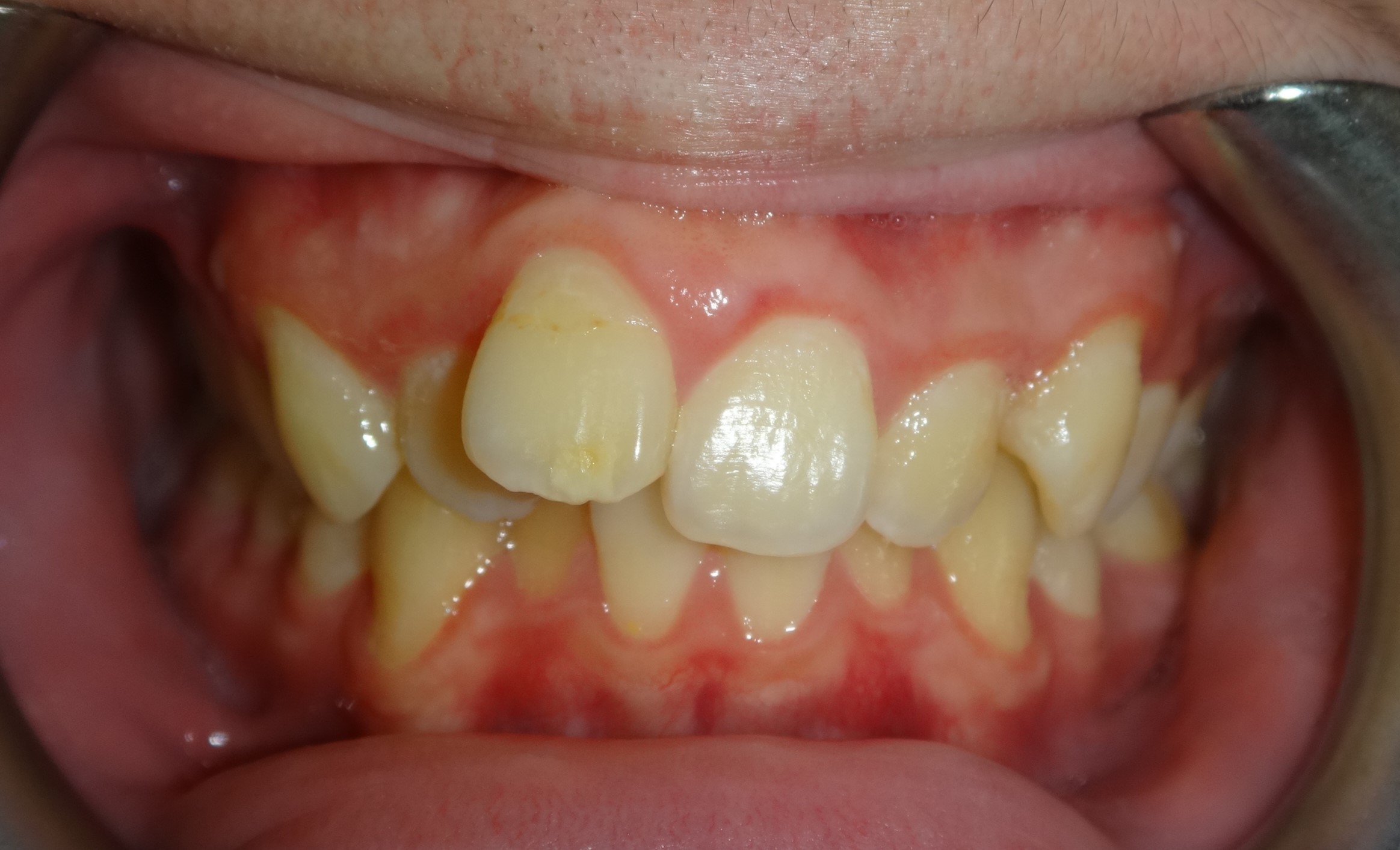
不拔牙案例 首頁 案例分享 齒顎矯正 不拔牙案例 矯正前 矯正後 - 不拔牙案例 - 年紀:18歲 矯正方式:隱適美隱形矯正 時間:21個月 矯正訴求:排列不整齊、咬合不正 矯正前 矯正後 矯正前 矯正後