隱適美拔牙矯正
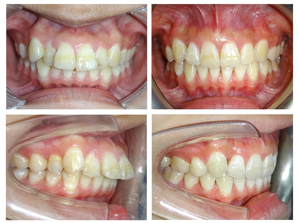
青少年隱適美拔上排案例
圖為兩位青少年的矯正療程, 配合度非常重要
這兩個案例的主訴皆為
1.排列凌亂
2.前牙及外觀外突
經過拔除上排兩顆小臼齒的隱形矯正計畫
順利改善咬合問題, 也讓這個年紀的青少年更加有自信。
矯正前→後
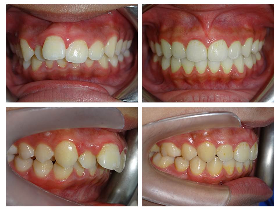
矯正前→後
聲明:本所療程皆由專業醫生評估後,依照個人口腔狀況進行治療。因每位患者個別狀況不同,術後狀況也不盡相同,需親來本所由醫生評估。
圖為兩位青少年的矯正療程, 配合度非常重要
這兩個案例的主訴皆為
1.排列凌亂
2.前牙及外觀外突
經過拔除上排兩顆小臼齒的隱形矯正計畫
順利改善咬合問題, 也讓這個年紀的青少年更加有自信。