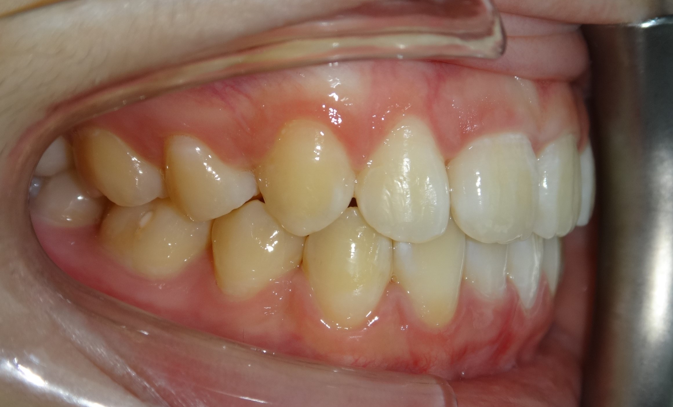
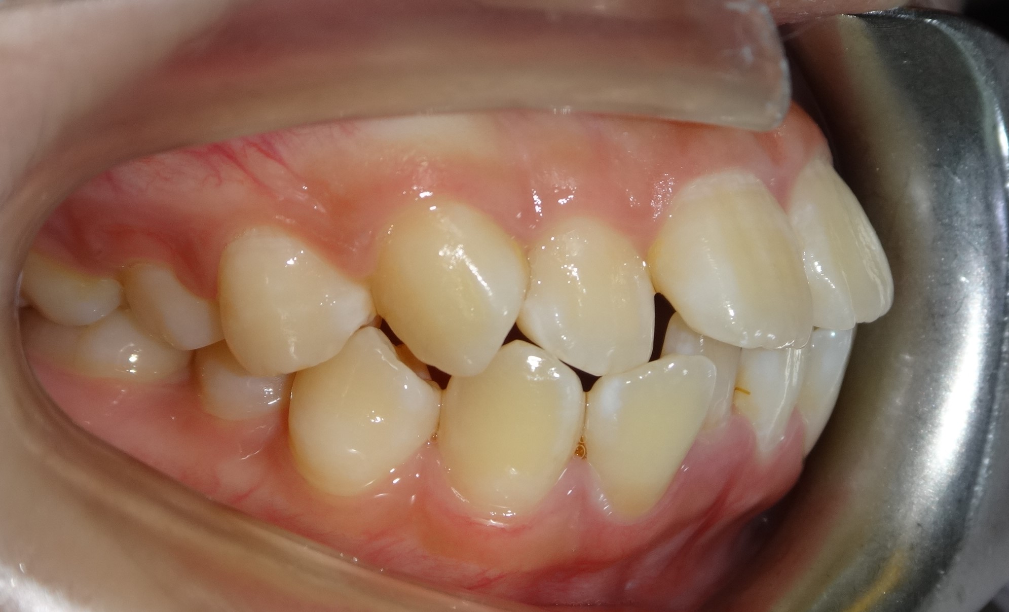
拔牙案例 首頁 案例分享 齒顎矯正 拔牙案例 - 拔牙案例 - 年紀:15歲 矯正方式:隱適美隱形矯正 時間:30個月 主訴:暴牙、笑起來不好看、咬合不正 矯正前 矯正後 矯正前 矯正後 矯正前 矯正後 聲明:本所療程皆由專業醫生評估後,依照個人口腔狀況進行治療。因每位患者個別狀況不同,術後狀況也不盡相同,需親來本所由醫生評估。