青少年早期矯正治療
青少年不拔牙案例
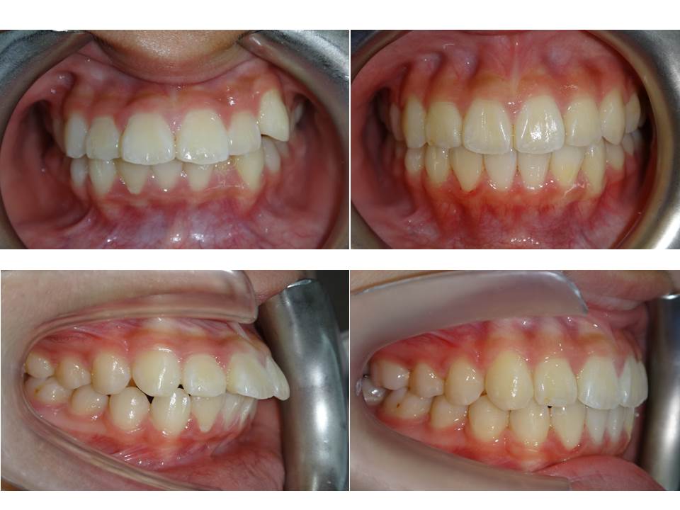
今日,媽媽一臉著急地帶著女兒來詢問關於青少年隱形矯正,媽媽很在意有點外凸的外觀和齒列的不整齊, 對於療程的唯一要求就是希望"不拔牙"
因為隱形牙套患者的配合度非常重要, 經過吳醫師針對案例客製化的設計和解釋,加上姊姊自己本身也非常有意願, 立馬決定在這個時期進入隱形矯正療程
隨著療程的進行齒列跟外觀明顯的產生變化,也更加強的姊姊的配合度. 歷經一年多矯正很順利地完成了, 矯正後期媽媽也也帶著小學五年級的弟弟一同來找吳醫師做隱適美矯正治療,想把握進入矯正的黃金時期....
矯正前後照
矯正前後照
聲明:本所療程皆由專業醫生評估後,依照個人口腔狀況進行治療。因每位患者個別狀況不同,術後狀況也不盡相同,需親來本所由醫生評估。