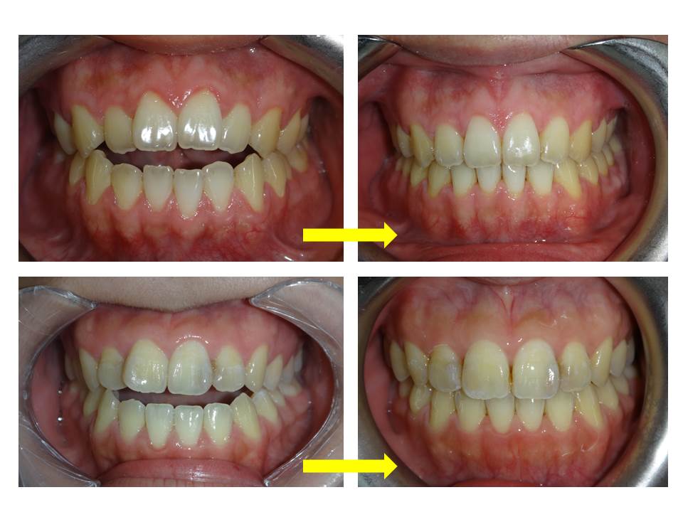
開咬不拔牙 首頁 案例分享 齒顎矯正 開咬不拔牙 開咬不拔牙(右圖為倆客戶→) 因為前面牙齒合不起來,無法用牙齒切斷食物,甚至影響說話發音而前來詢問矯正,是否可以改善現況 如今客戶能夠正常咀嚼食物,能用前牙果斷的切斷食物..... 客戶開心,我們也開心 聲明:本所療程皆由專業醫生評估後,依照個人口腔狀況進行治療。因每位患者個別狀況不同,術後狀況也不盡相同,需親來本所由醫生評估。