自鎖式矯正器不拔牙矯正
自鎖式矯正器不拔牙案例
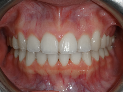
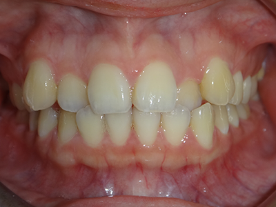
年紀:24歲 女性 時間:28個月
主訴為
1.前牙錯咬
2.牙齒凌亂
經過長時間的配合,門面好看,牙齒易清潔,效果甚滿意。
矯正前
矯正後
聲明:本所療程皆由專業醫生評估後,依照個人口腔狀況進行治療。因每位患者個別狀況不同,術後狀況也不盡相同,需親來本所由醫生評估。
年紀:24歲 女性 時間:28個月
主訴為
1.前牙錯咬
2.牙齒凌亂
經過長時間的配合,門面好看,牙齒易清潔,效果甚滿意。