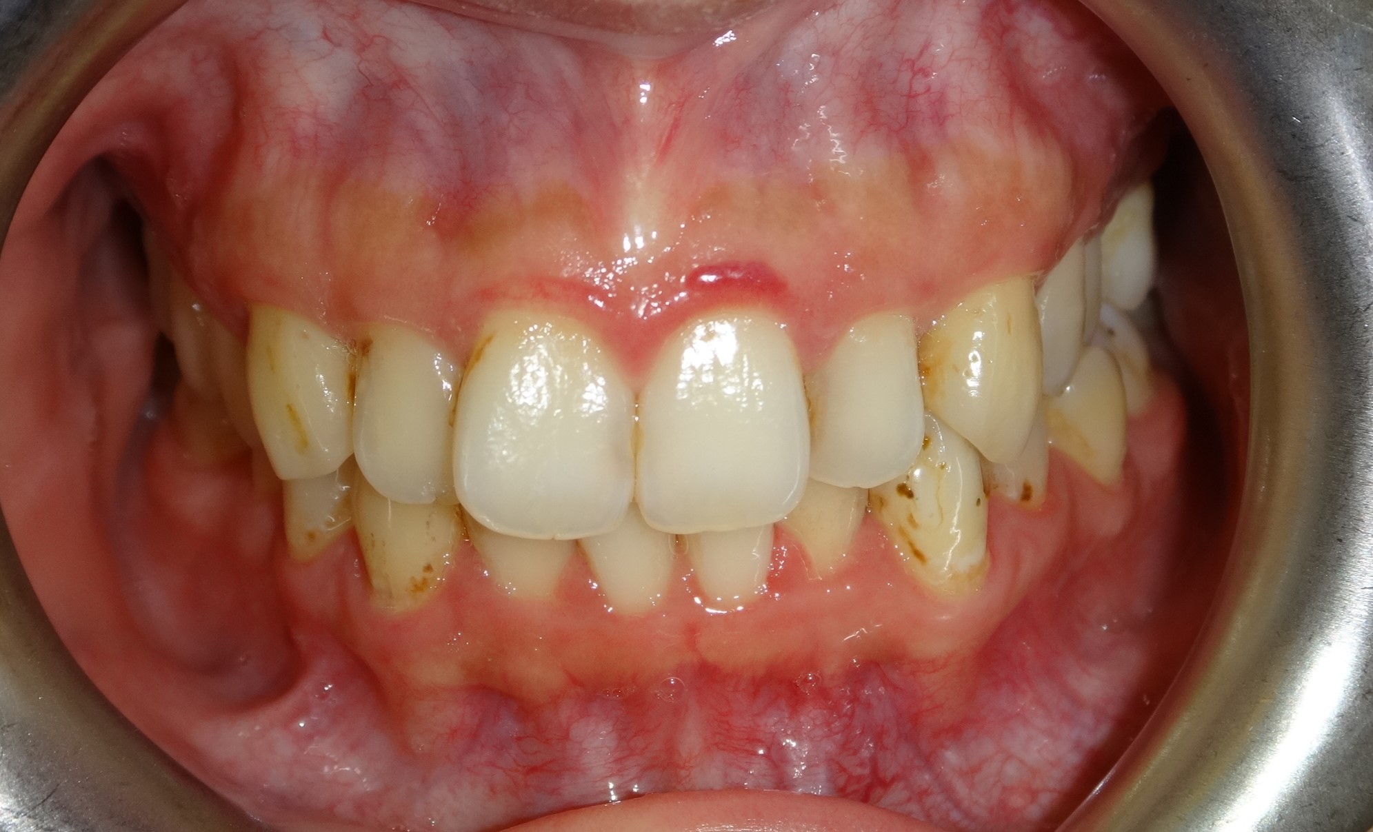
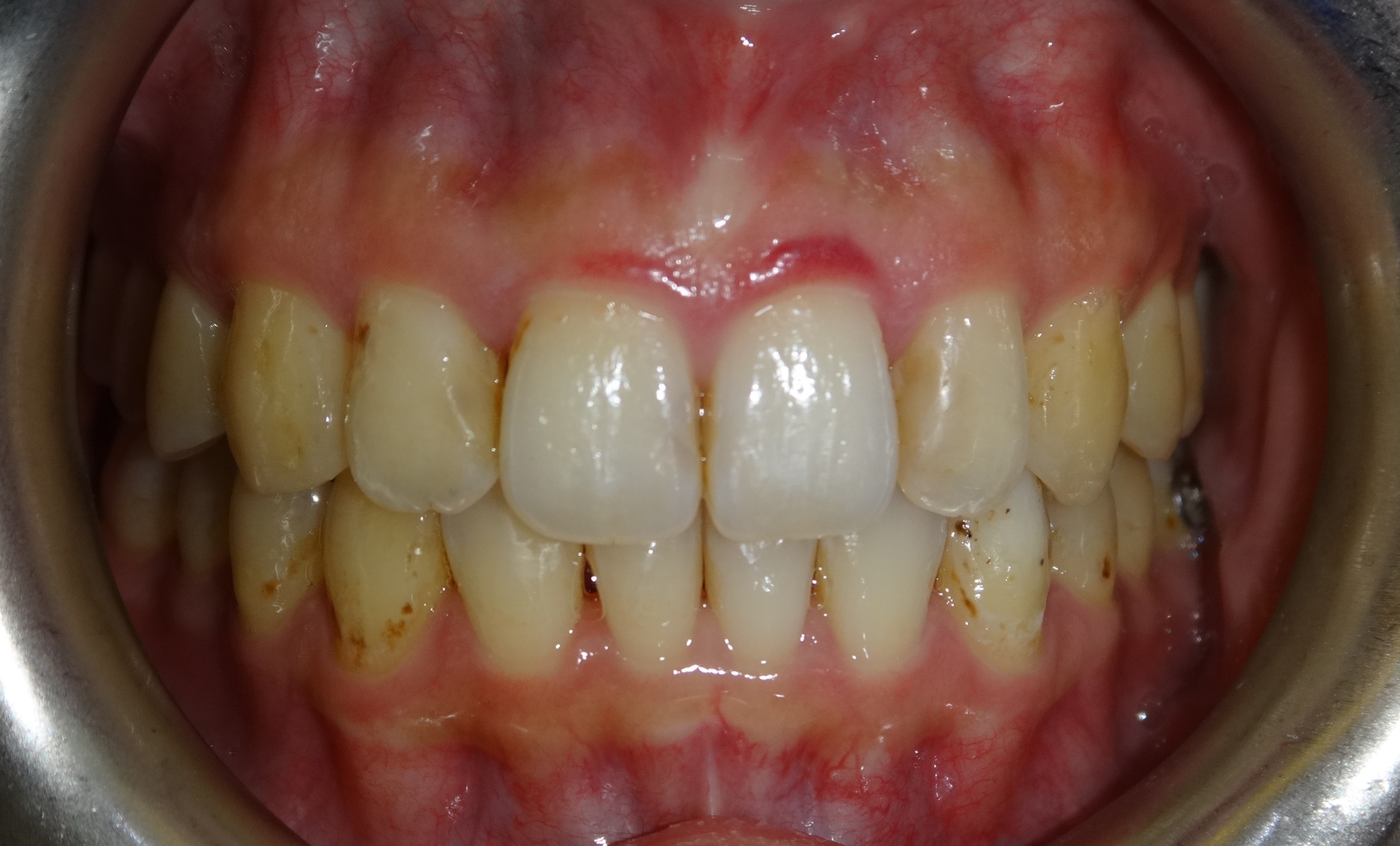
微矯正案例 首頁 案例分享 齒顎矯正 微矯正案例 矯正前 矯正後 - 不拔牙案例 - 年紀:29歲 矯正方式:隱適美隱形矯正 時間:18個月 矯正訴求:門牙外凸、中線不正 聲明:本所療程皆由專業醫生評估後,依照個人口腔狀況進行治療。因每位患者個別狀況不同,術後狀況也不盡相同,需親來本所由醫生評估。