拔牙改臉型
--矯正拔牙案例--
一位女孩用諾諾的聲音...."醫師您好,我想要做矯正"
從一開始擔心的心態(經典的想變美又怕痛)
經過吳醫師的溫柔看診方式與專業技術下,減少了看牙和矯正的不適感。
歷經三年雙方愉快的合作,這位女孩的牙齒與嘴唇部都有了極大的改變
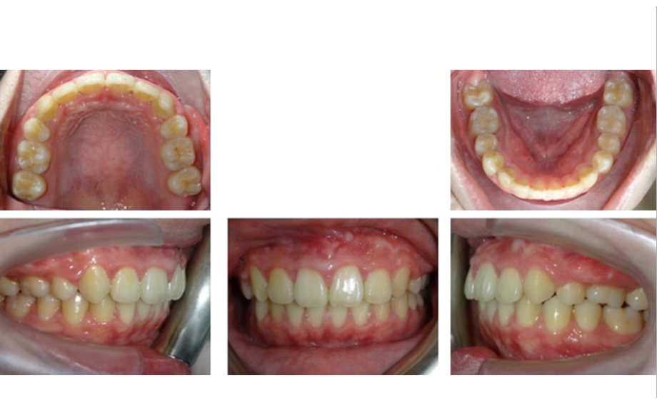
矯正前
矯正後
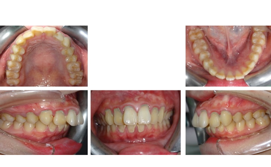
矯正前
矯正後
聲明:本所療程皆由專業醫生評估後,依照個人口腔狀況進行治療。因每位患者個別狀況不同,術後狀況也不盡相同,需親來本所由醫生評估。
一位女孩用諾諾的聲音...."醫師您好,我想要做矯正"
從一開始擔心的心態(經典的想變美又怕痛)
經過吳醫師的溫柔看診方式與專業技術下,減少了看牙和矯正的不適感。
歷經三年雙方愉快的合作,這位女孩的牙齒與嘴唇部都有了極大的改變