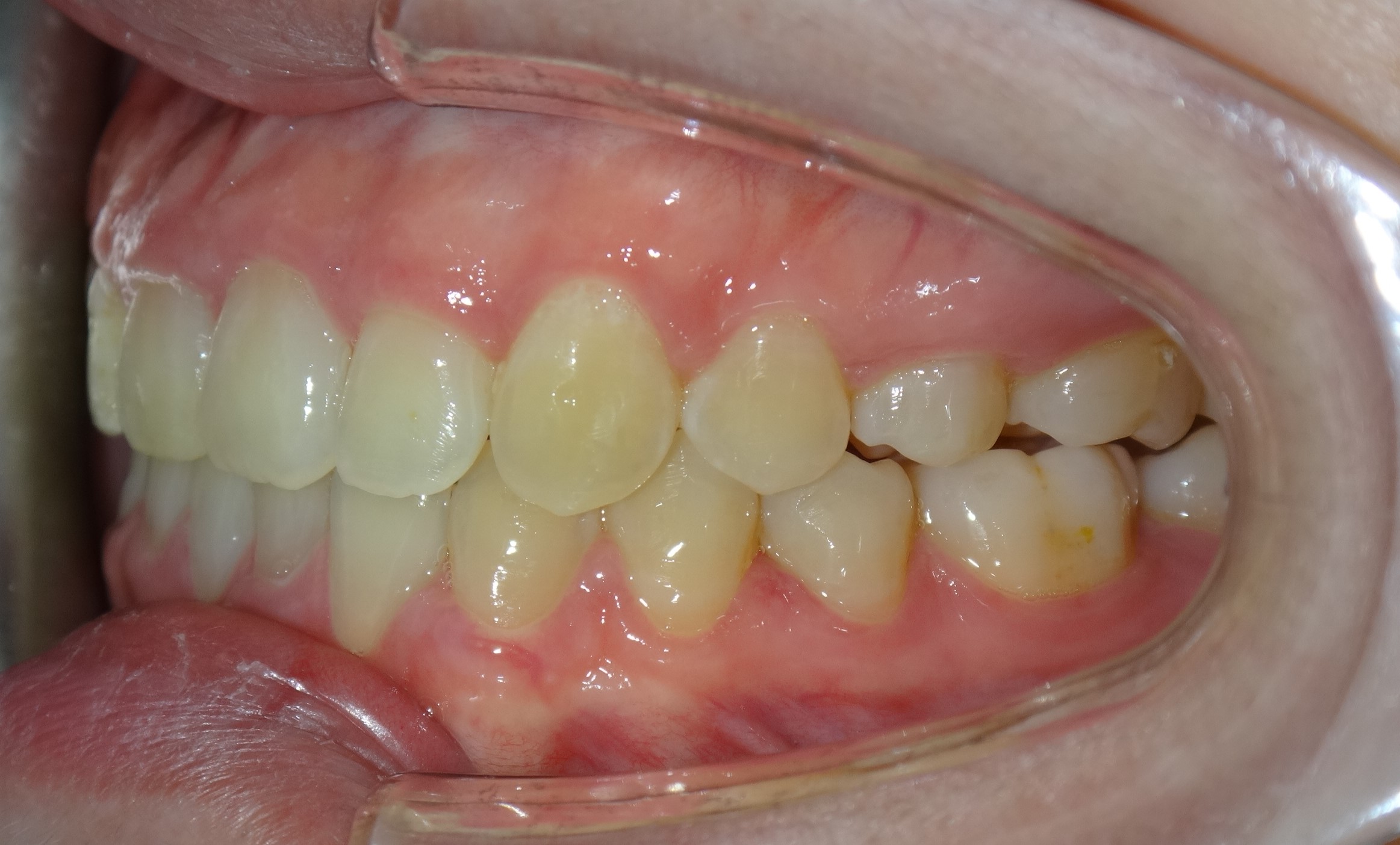
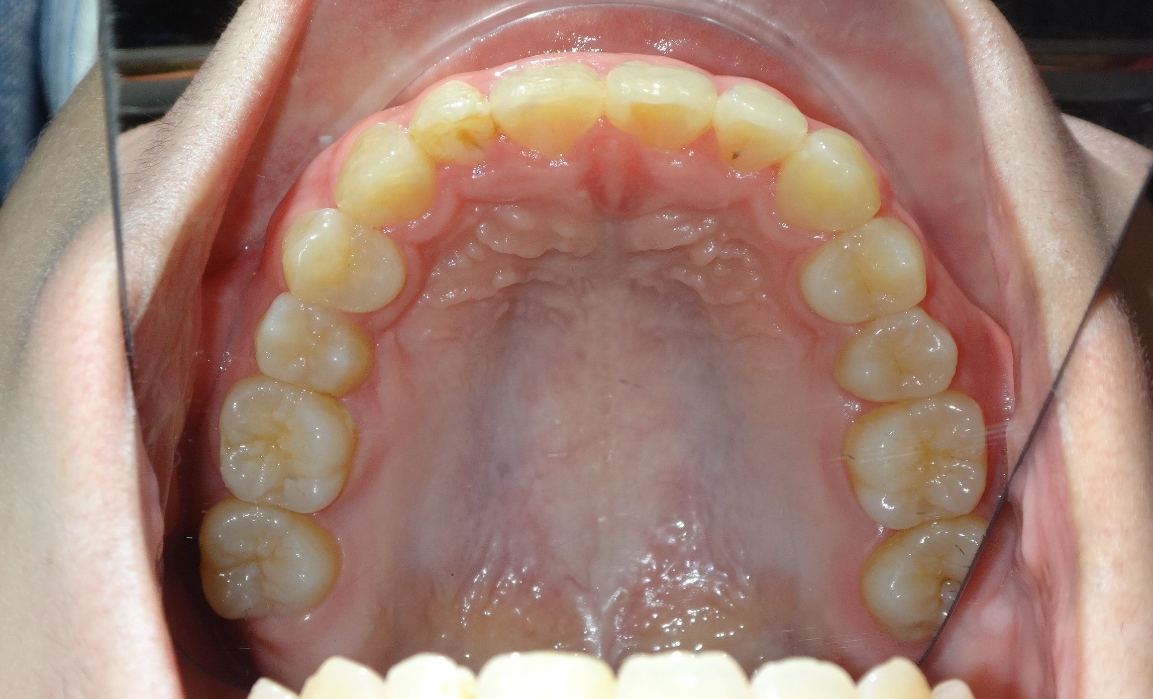
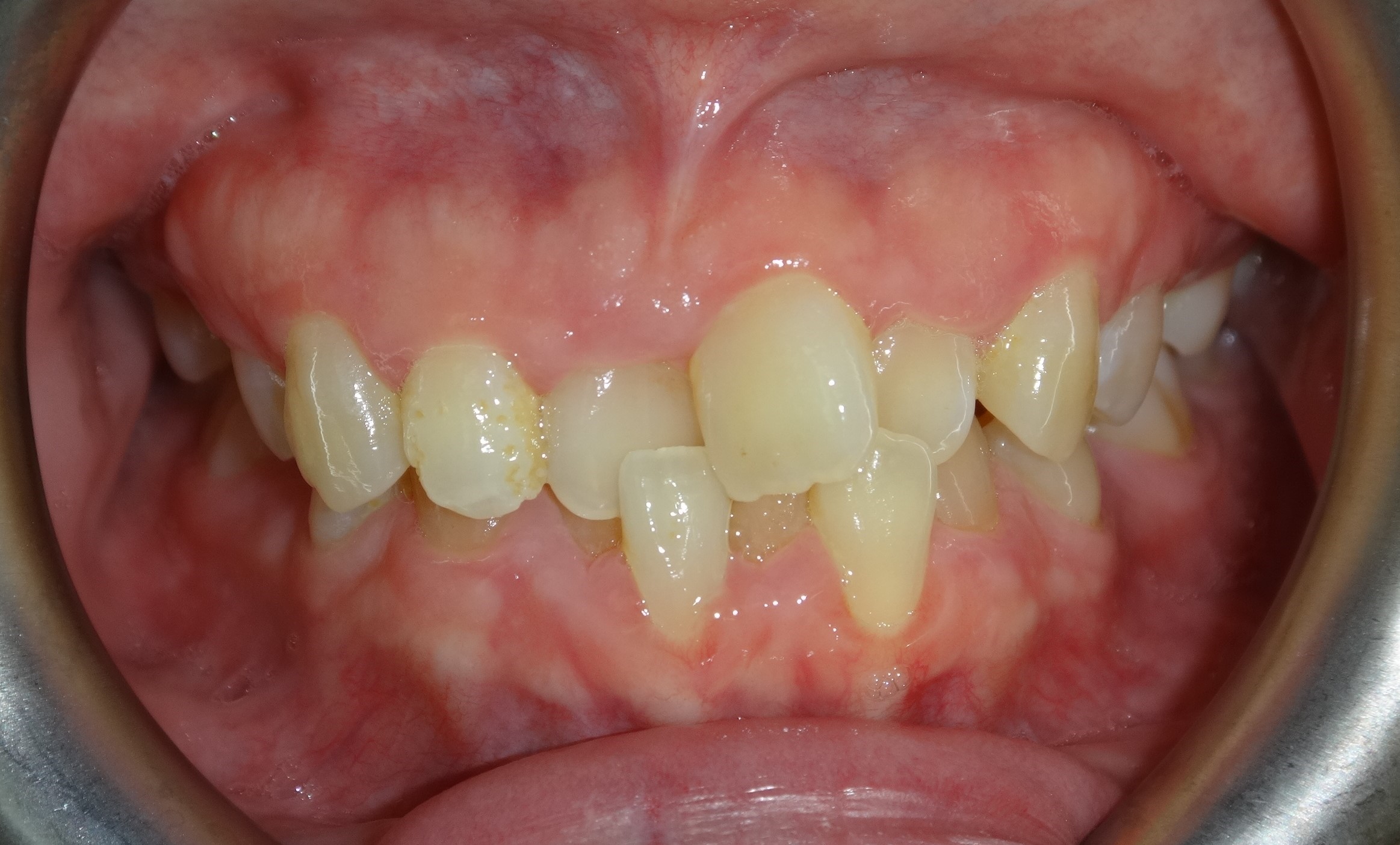
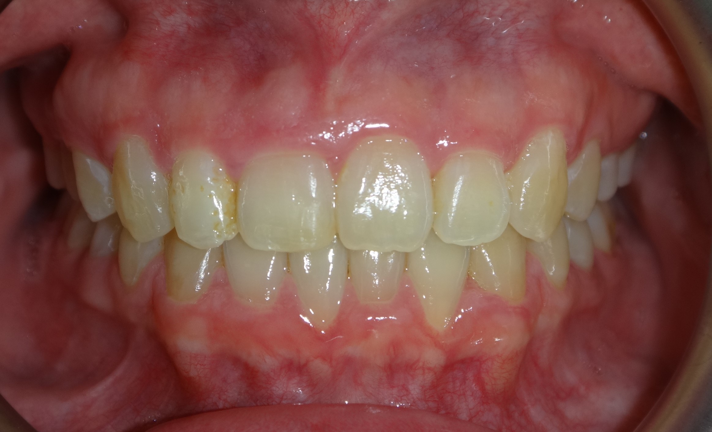
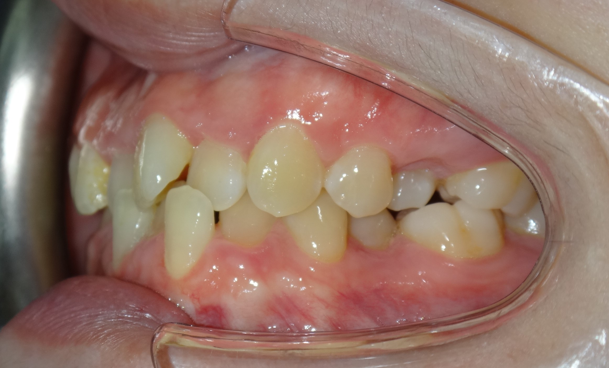
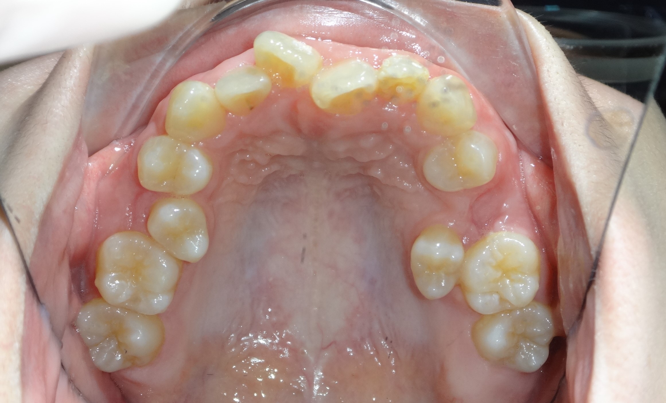
不拔牙案例 首頁 案例分享 齒顎矯正 不拔牙案例 - 矯正不拔牙案例 - 年紀:27歲 治療方式:隱適美隱形矯正 時間:34個月 主訴:前牙錯咬、排列不整 矯正前 矯正後 矯正前 矯正後 矯正前 矯正後 聲明:本所療程皆由專業醫生評估後,依照個人口腔狀況進行治療。因每位患者個別狀況不同,術後狀況也不盡相同,需親來本所由醫生評估。