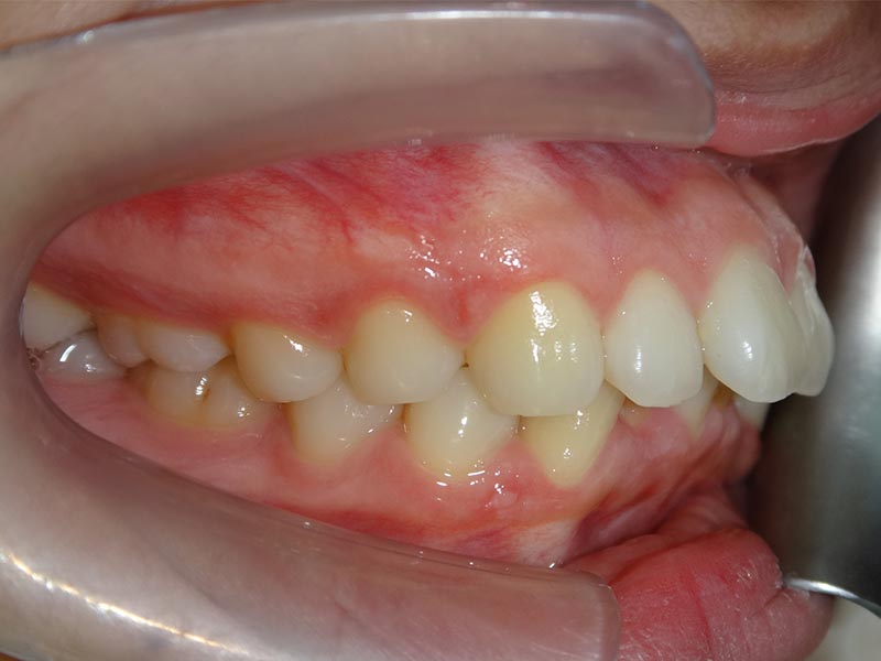
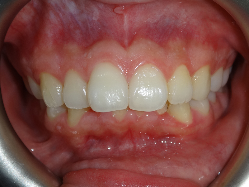
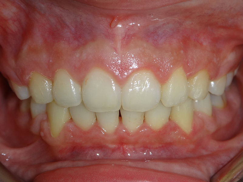
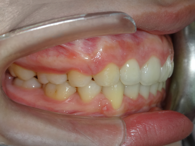
隱適美拔牙改臉型(二) 首頁 案例分享 齒顎矯正 隱適美拔牙改臉型(二) 拔牙改臉型案例 年紀:20 歲 女性 治療方式:隱適美隱形矯正 時間:29個月 主訴:外觀看起來比較暴,希望可以把牙齒排列整齊以及後縮 矯正前 矯正後 矯正前 矯正後 矯正前 矯正後 聲明:本所療程皆由專業醫生評估後,依照個人口腔狀況進行治療。因每位患者個別狀況不同,術後狀況也不盡相同,需親來本所由醫生評估。