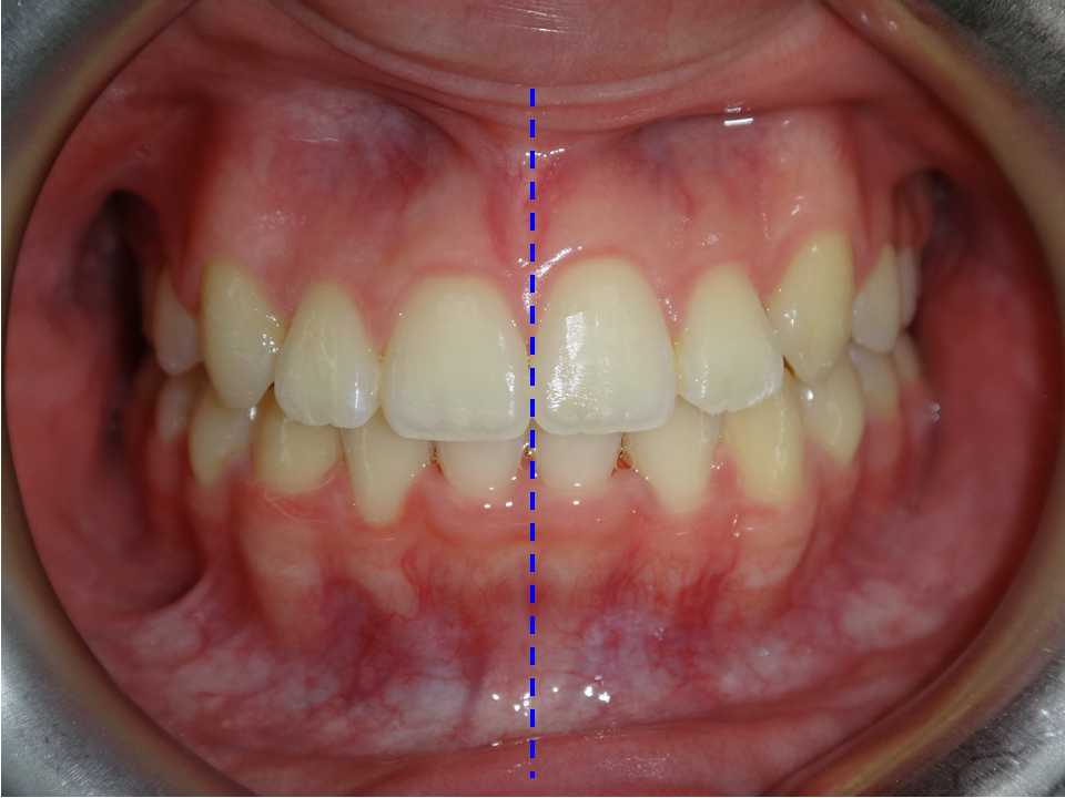
自鎖式矯正器不拔牙矯正 首頁 案例分享 齒顎矯正 自鎖式矯正器不拔牙矯正 中線歪斜致使下巴偏右,經矯正後改正 年紀:17歲 女性 時間:26個月 矯正前 矯正後 聲明:本所療程皆由專業醫生評估後,依照個人口腔狀況進行治療。因每位患者個別狀況不同,術後狀況也不盡相同,需親來本所由醫生評估。