牙周補骨手術
牙周再生手術 — 填補骨粉及牙釉基質蛋白再生材料
醫師診斷及治療前
患者常抱怨早期拔完智齒後前一顆牙齒的牙肉反覆腫脹,經檢查發現......
發現左右邊的第二大臼齒 骨頭缺損嚴重
左側
右側
手術中
將骨頭缺失的地方,放骨粉及牙釉基質蛋白再生材料,將其縫合.........後續追蹤
左側
右側
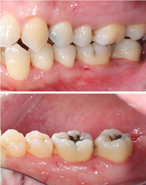
術後兩周 傷口恢復良好
右側
左側
右側
患者常抱怨早期拔完智齒後前一顆牙齒的牙肉反覆腫脹,經檢查發現......
發現左右邊的第二大臼齒 骨頭缺損嚴重
將骨頭缺失的地方,放骨粉及牙釉基質蛋白再生材料,將其縫合.........後續追蹤